Các chuyên gia y khoa không tin vào khả năng quét bản chụp X-quang để phát hiện virus corona của AI
Tuy vậy, các công ty công nghệ vẫn đang đưa ra những khẳng định chắc nịch về các hệ thống chẩn đoán của họ.
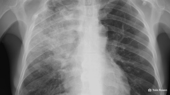
Chụp X-quang có thể tiết lộ những tổn thương kinh hoàng mà virus corona gây ra với phổi.
Những hình ảnh được công bố bởi Hiệp hội X-quang Bắc Mỹ cho thấy chủng virus mới này lấp đầy phổi người bệnh bằng chất nhầy đặc dính, khiến họ khó thở vì không còn không gian trống để đưa không khí vào trong.
Những hiệu ứng này là cơ sở để hàng loạt các công ty công nghệ tung ra những hệ thống trí tuệ nhân tạo (AI) có khả năng phát hiện dấu hiệu lây nhiễm trong phổi.
Khả năng này của AI được lý giải một cách đơn giản: AI, mà cụ thể là thuật toán học sâu (deep learning), có thế mạnh trong việc phân loại hình ảnh. Nếu nó có thể lọc ra những chi tiết từ các bức ảnh độ phân giải cao, nó cũng có thể phát hiện những triệu chứng của virus corona trong các ảnh X-quang và các bản chụp CT.
Và những lời khẳng định chắc nịch của các công ty IT khiến chúng ta nghĩ rằng giả thuyết họ đưa ra là chính xác.
Một trong những công ty nổi tiếng trong số này là gã khổng lồ công nghệ Trung Quốc Alibaba. Công ty nói rằng hệ thống AI của mình có thể phân biệt giữa virus corona và virus gây viêm phổi thông thường với độ chính xác đến 96%, và quá trình chẩn đoán chỉ mất trên dưới 20 giây mà thôi.
Dù vậy, không phải ai cũng bị thuyết phục rằng những hệ thống này hoạt động hiệu quả.
Giới chuyên gia tranh cãi rằng, chúng xét cho cùng cũng chỉ là những công cụ mà giá trị vẫn chưa được chứng minh cụ thể. Tệ hơn nữa, chúng là những nỗ lực nhằm thu lời từ một đại dịch toàn cầu.
Những vấn đề với AI
Hầu hết các hình ảnh dùng để huấn luyện các hệ thống AI đều là ảnh chụp giai đoạn lây nhiễm nặng, có nghĩa là AI sẽ kém hiệu quả hơn trong việc phát hiện những dấu hiệu ban đầu của virus. Chúng còn có thể gặp khó khăn khi phân biệt giữa virus corona với các vấn đề sức khỏe khác có biểu hiện triệu chứng tương tự trong ảnh.
Bên cạnh đó, một nguy cơ không thể xem thường là bệnh có thể lây lan bằng cách xâm nhập vào các trang thiết bị phân tích hình ảnh.
Những vấn đề đó đã khiến Đại học X-quang Mỹ khuyến cáo chỉ nên sử dụng kỹ thuật chụp CT một cách hạn chế trên các bệnh nhân đã nhập viện, hoặc thông qua các thiết bị xách tay bên ngoài các cơ sở y tế.
Trung tâm Kiểm soát Bệnh dịch (CDC) cũng bày tỏ những quan ngại như vậy. Cơ quan bảo vệ sức khỏe Mỹ không khuyến cáo sử dụng kỹ thuật chụp CT để phát hiện COVID-19. Thay vào đó, cơ quan này nói rằng phương thức chẩn đoán hiệu quả duy nhất lúc này là xét nghiệm virus.
Nhưng sự thiếu hụt những bộ kit xét nghiệm lại càng khiến AI trở nên quý giá.
Một công cụ bổ trợ
Startup Canada, DarwinAI, là một công ty khác sử dụng AI để phát hiện virus corona trong các bản chụp X-quang lồng ngực. Nhưng CEO Sheldon Fernandez kiệm lời hơn nhiều khi nói về những lợi ích của AI.
"Nó không có tính quyết định như phương thức xét nghiệm PCR truyền thống, vốn là cách hoàn toàn chắc chắn để bạn biết một người đã bị nhiễm corona hay chưa. Và chúng tôi chưa bao giờ khẳng định rằng X-quang là phương pháp chắc chắn cả" – ông nói.
"Điều chúng tôi muốn nói là, xét những hạn chế xoay quanh phương thức xét nghiệm truyền thống, những yêu cầu về hóa chất, sự thiếu hụt về tài nguyên, những kiến thức chuyên môn bạn cần có để thực hiện nó, thời gian cần thiết để trả kết quả, thì đây (AI) là một công cụ bổ trợ mang lại cho bạn một câu trả lời mang tính thống kê trong một khoảng thời gian rất nhanh".
Thay vì giữ hệ thống này như một bí mật thương mại, DarwinAI đã mở mã nguồn công nghệ và mời cộng đồng nghiên cứu tham gia đóng góp dữ liệu.
Chỉ một tuần sau khi trung ra hệ thống COVID-Net, những đóng góp từ các chuyên gia y tế và các nhà khoa học dữ liệu đã giúp công ty xây dựng được một bộ dữ liệu gồm 16.756 ảnh chụp X-quang lồng ngực của 13.645 bệnh nhân.
Hệ thống hiện vẫn ở giai đoạn thử nghiệm, nhưng DarwinAI đang làm việc với các tổ chức chính phủ tại Canada để gây quỹ nhằm điều hành nó.
Fernandex hi vọng những nỗ lực này sẽ giúp đưa COVID-Net đến các bệnh viện chỉ trong vài tuần. Nhưng anh nhấn mạnh rằng nó chỉ là một công cụ bổ trợ giúp tăng khả năng sàng lọc.
Đến lúc này, hệ thống vẫn là một mô hình tham khảo, có thể hỗ trợ những đột phá mới trong cuộc chiến chống virus corona, chứ chưa phải là một sản phẩm y tế hoặc một công cụ tự chẩn đoán.
"Liệu nó sẽ trở thành một công cụ hoàn hảo duy nhất? Hoàn toàn không" – Fernandez thừa nhận. "Nó chỉ là một công cụ mà cộng đồng của chúng tôi đang cố trao cho một cộng đồng khác nhằm hỗ trợ cho công việc của họ".
Khẳng định của DarwinAI có thể không giống như những lời đao to búa lớn của các công ty công nghệ khác. Nhưng biết được những hạn chế của AI trong phát hiện virus corona sẽ giúp đảm bảo chúng được sử dụng một cách hiệu quả nhất. Đặt quá nhiều niềm tin vào sức mạnh của chúng có thể dẫn đến những hậu quả hết sức nguy hiểm.
Tham khảo: TheNextWeb
NỔI BẬT TRANG CHỦ
-
Apple và MCK hợp tác thực hiện album trailer 360 độ quay bằng 8 chiếc iPhone 17 Pro
Album trailer "HVL" của MCK được thực hiện bằng 8 chiếc iPhone 17 Pro gắn trên rig chuyên dụng, đồng bộ qua genlock để tạo trải nghiệm 360 độ tương tác - lần đầu tiên một nghệ sĩ Việt hợp tác quy mô này cùng Apple.
-
Bí mật đằng sau album trailer "HVL" của MCK: 8 chiếc iPhone 17 Pro và kỹ thuật quay 360 độ “thế giới chưa ai từng làm”