-
-
Sống -
15/08/2021 | 09:43
Thoái hóa đốt sống cổ là tình trạng bệnh lý mà nhiều người gặp phải, thế nhưng đã bao giờ bạn tự hỏi rằng hươu cao cổ có cái cổ dài như thế, khi chúng bị thoái hóa đốt sống cổ thì sẽ như thế nào chưa?
-
Khám phá -
29/04/2021 | 21:33
Mới đây, các nhà cổ sinh vật học đã đặt tên cho một loài khủng long được tìm thấy ở tỉnh Hà Nam, Trung Quốc là Qiupanykus, đây là một loài khủng long kỳ lạ, có hai ngón và là một kẻ chuyên ăn cắp trứng của các loài khủng long khác.
-
Sống -
26/12/2020 | 21:41
Khủng long ăn cỏ là tên gọi đại diện cho những loài khủng long ăn thực vật. Nhưng trên thực tế, trước đây giới khoa học cho rằng Trái Đất không hề có loài thực vật nào được gọi là cỏ cho đến cuối kỷ Phấn trắng.
-
Sống -
16/07/2020 | 22:11
Một hóa thạch răng sắc nhọn được tìm thấy trong hóa thạch đốt sống cổ của thằn lằn bay được coi là dấu vết sót lại của cuộc tấn công dữ dội trên không giữa con cá mập và Pterizards.
-
Sống -
18/05/2019 | 12:07
Đau vai-gáy là triệu chứng phổ biến, gây ảnh hưởng tiêu cực đến chất lượng sống.
-
Sống -
21/12/2018 | 08:27
Nhiều thứ thân quen xung quanh chúng ta hóa ra lại ẩn chứa sự thật bất ngờ.
-
Sống -
30/05/2018 | 21:00
Khoảng 20 người bất chấp nguy hiểm, chạy xuống dốc để đuổi theo tảng phô mai lăn với vận tốc 112km/h. Xin chào đến với Cooper's Hill Cheese-Rolling and Wake - Lễ hội vồ phô mai nguy hiểm bậc nhất thế giới.
-
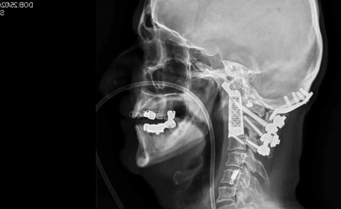
Khám phá -
17/03/2016 | 19:50
Bệnh nhân này đã vô tình mắc căn bệnh ung thư sụn ác tính, cực kì hiếm gặp.
-
Khám phá -
28/02/2016 | 22:49
Bệnh nhân đang dần dần hồi phục.
-
Khám phá -
20/11/2015 | 17:39
Thông thường chúng ta dành ra từ 2 tới 4 giờ mỗi ngày để thực hiện các thao tác trên màn hình điện thoại trong tư thế cúi đầu.