Khoa học của tình yêu là gì: Sự khác biệt giữa thích, yêu và các dạng tình yêu khác nhau
Không có tình yêu, loài người có thể sẽ không tiến hóa được đến bây giờ.
Từ âm nhạc tới thơ ca, tiểu thuyết cho tới phim ảnh, tình yêu luôn là một trong những chủ đề xuyên suốt trong nghệ thuật để vượt qua mọi rào cản của thời đại. Nhưng tình yêu trong khoa học thì sao?
Những bằng chứng lịch sử, văn hóa và thậm chí tiến hóa gợi ý tình yêu đã tồn tại trong nhiều nền văn minh khác nhau trên thế giới từ thời cổ đại. Một nghiên cứu đã thống kê và tìm thấy bằng chứng về sự tồn tại của tình yêu trong 147/166 nền văn hóa mà họ khảo sát.
Nhưng tình yêu thực sự là một khái niệm phức tạp. Nó phức tạp cả trên phương diện mọi người trải nghiệm nó như thế nào và trải nghiệm đó có thể thay đổi ra sao theo thời gian.
Thích, yêu hay đắm say?
Trong hơn 50 năm qua, các nhà tâm lý học đã nghiên cứu sự khác biệt giữa các trạng thái tình cảm: thích, yêu và đắm say một ai đó.
Theo đó, "thích" được mô tả là trạng thái tình cảm của hai người với nhau, trong đó mỗi người đều có những suy nghĩ và cảm xúc tích cực đối với người còn lại nhưng thiên theo hướng tình bạn.
Trong mối quan hệ "thích nhau", chúng ta cũng thường trải nghiệm được sự ấm áp và gần gũi đối với người chúng ta thích. Một số trường hợp, chúng ta chọn có những tình cảm thân mật với những người này.
Khi "yêu", chúng ta cũng trải qua những suy nghĩ và có những trải nghiệm tích cực giống như khi chúng ta thích một ai đó. Nhưng chúng ta còn trải nghiệm thêm cảm giác được chăm sóc cũng như có một cam kết sâu sắc đối với người đó.
Còn khi yêu "đắm say", chúng ta sẽ trải qua tất cả những trạng thái trên, cộng thêm những hấp dẫn và sự hưng phấn về mặt tình dục. Tuy nhiên, nghiên cứu quan điểm của mọi người về tình yêu gợi ý rằng tình yêu của mỗi người không phải lúc nào cũng giống nhau.

Tình yêu đam mê và tình yêu đồng hành
Tình yêu lãng mạn có thể được chia thành hai loại. Thứ nhất là tình yêu đam mê hay tình yêu nồng nhiệt. Còn thứ hai là tình yêu đồng hành. Hầu hết các mối quan hệ lãng mạn, cho dù họ là người dị tính hay cùng giới tính, đều có thể phân thành hai loại tình yêu này.
Tình yêu đam mê là thứ mà mọi người thường xếp vào loại tình yêu "đắm say" phía trên. Nó hàm chứa cảm giác đam mê và khao khát mãnh liệt đối với một ai đó, đến mức khiến bạn có thể bị ám ảnh bởi suy nghĩ muốn được ở trong vòng tay của họ.
Tình yêu thứ hai được gọi là tình yêu đồng hành. Nó không mãnh liệt, nhưng lại phức tạp và hàm chứa các kết nối cảm xúc của sự thân mật, cam kết bằng một sự gắn bó sâu sắc đối với đối tác.
Tình yêu thay đổi như thế nào theo thời gian?
Nghiên cứu xem xét những thay đổi của tình yêu theo thời gian thường cho thấy: Tình yêu kiểu đam mê, nồng nhiệt thường bắt đầu rất mãnh liệt, nhưng sẽ suy giảm dần xuống trong quá trình của mối quan hệ.
Có nhiều lý do khác nhau giải thích hiệu ứng này.
Thứ nhất, khi mối quan hệ tiến triển, hai người bắt đầu yêu nhau đắm say sẽ ngày càng tìm hiểu thêm được nhiều điều về nhau. Mỗi người trong số họ đều trở nên tự tin hơn về tương lai lâu dài của mối quan hệ nên không quay ra chăm sóc lẫn nhau nữa.
Những thói quen sẽ phát triển trong quá trình này. Các cơ hội để trải nghiệm sự mới lạ và hứng thú cũng ít dần đi, cùng với đó là tần suất của hoạt động tình dục. Điều này có thể khiến tình yêu nồng nhiệt lắng xuống.
Mặc dù không phải tất cả các cặp vợ chồng yêu nhau đắm say ngay từ đầu đều trải qua thời kỳ suy thoái này, nhưng nhiều nghiên cứu cho thấy khoảng 20-40% trong số họ nhận thấy điều đó. Trong số các cặp vợ chồng đã kết hôn hơn 10 năm, suy thoái mạnh nhất có thể xảy ra khi hôn nhân của họ bước sang thập kỷ thứ hai.
Đó là vì nhiều sự kiện xảy ra trong cuộc sống, nhiều sự chuyển biến có thể khiến những người yêu nhau nồng nhiệt bị phân tâm và không còn trải nghiệm được sự đam mê trong tình yêu nữa. Nhiều trách nhiệm khác trong cuộc sống sẽ ảnh hưởng tới năng lượng của họ, hạn chế các cơ hội để họ nuôi dưỡng tình yêu đam mê. Bắt đầu có con đầu lòng và làm cha mẹ là một ví dụ cho trường hợp này.
Ngược lại, các nghiên cứu tìm thấy tình yêu đồng hành thường gia tăng theo thời gian. Những cặp đôi yêu theo lối đồng hành nhiều hơn, sẽ ngày càng yêu nhau mặn mà hơn.
Nhưng trên thực tế, hầu hết các mối quan hệ lãng mạn sẽ bao gồm cả tình yêu nồng nhiệt và và tình yêu đồng hành. Vì vậy để nói về sự thay đổi của tình yêu theo thời gian, phải xét đến tình yêu của bạn lúc này có tính mãnh liệt nhiều hơn hay đồng hành nhiều hơn.
Nếu một mối quan hệ chỉ có sự mãnh liệt hoặc có quá ít sự đồng hành, nó sẽ có những thay đổi tiêu cực khi tiến triển thêm và ngược lại.
Nhưng tại sao tình yêu lại xuất hiện?
Tình yêu là một cảm xúc giữ cho mọi người gắn kết và cam kết với nhau. Từ góc độ tâm lý học tiến hóa, tình yêu sinh ra để giữ cho cha mẹ của những đứa trẻ ở bên nhau đủ lâu để giữ cho chúng tồn tại và cùng chăm sóc chúng đến tuổi trưởng thành, đạt tới độ chín về tình dục để tiếp tục duy trì nòi giống.
So với các loài động vật khác, thời kỳ thơ ấu của con người kéo dài hơn nhiều. Do đó, con cái cần phải dựa vào cha mẹ trong nhiều năm để sống và phát triển đủ các kỹ năng cần thiết. Tình yêu đối với con người đặc biệt trở nên quan trọng.
Không có tình yêu, loài người có thể sẽ không tiến hóa được đến bây giờ.
Còn có một cơ sở sinh học về tình yêu
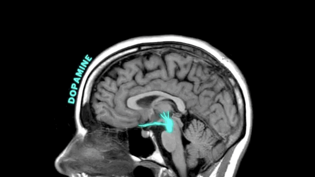
Không chỉ có cơ sở về mặt tiến hóa, lý do tình yêu được sinh ra còn có thể được giải thích trên cả khía cạnh sinh học. Các nghiên cứu sinh lý thần kinh về tình yêu cho thấy những người đang yêu thường kích hoạt các vùng não liên quan đến tưởng thưởng và niềm vui nhiều hơn.
Trên thực tế, các vùng não được kích hoạt bởi tình yêu cũng giống như cách chúng được kích hoạt bởi ma túy. Chúng giải phóng ra các hóa chất như oxytocin, vasopressin và dopamine, tạo ra cảm giác hạnh phúc và hưng phấn. Tất nhiên, các vùng não này cũng liên quan đến những hưng phấn về mặt tình dục.

Và thật thú vị, nhiều vùng não được kích hoạt trong tình yêu sẽ không thể được kích hoạt khi bạn nghĩ về những mối quan hệ khác, chẳng hạn như tình bạn. Những phát hiện này cho chúng ta thấy rằng thích một ai đó không giống như đang yêu một ai đó.
Phong cách tình yêu của bạn là gì?
Nghiên cứu đã tìm thấy ba phong cách chính của tình yêu. Lần đầu tiên được phân loại bởi nhà tâm lý học John Lee, tình yêu gồm có ba phòng cách chính là eros, ludus và storge. Những phong cách này được phân loại dựa trên niềm tin và thái độ của mọi người về tình yêu, cũng như cách họ hành động và tiếp cận các mối quan hệ lãng mạn.
Eros
Phong cách này là kiểu tình yêu tập trung vào sự hấp dẫn thể xác của đối tác. Bạn thường có khao khát và mong muốn tình dục cùng những sự thân mật mãnh liệt khác.
Ludus
Phong cách này là kiểu tình yêu xa cách về mặt cảm xúc. Nó xảy ra khi một người yêu người khác, nhưng không có sự cam kết rõ ràng. Người yêu theo phong cách ludus sẽ cảm thấy thoải mái khi kết thúc các mối quan hệ. Và họ thậm chí còn bắt đầu một mối quan hệ mới ngay cả khi chưa kết thúc mối quan hệ đang có.
Storge
Storge thường được coi là một hình thức trưởng thành hơn của tình yêu. Nó ưu tiên mối quan hệ với những người có cùng sở thích. Tình cảm trong phong cách yêu này được chia sẻ và thể hiện một cách cởi mở. Người yêu theo kiểu storge ít chú trọng đến sự hấp dẫn về thể xác của đối tác. Họ cũng luôn tin tưởng vào người yêu của mình và không cần hay không phụ thuộc vào họ.
Tuy nhiên, bạn cũng có thể có phong cách yêu hỗn hợp
Bằng chứng cho thấy một số người có phong cách yêu pha trộn giữa các phong cách yêu chính kể trên. Các phong cách hỗn hợp này được gọi là mania, pragma và agape.
Tình yêu mania hàm chứa cả sự mạnh liệt lẫn những cam kết cũng như chăm sóc cho đối tác. Tình yêu pragma thường bắt nguồn từ việc lựa chọn đối tác dựa trên nhu cầu và sự thực dụng của bản thân. Còn agape là một tình yêu hy sinh, được thúc đẩy bởi ý thức về bổn phận và sự vị tha.
Tại sao bạn lại yêu theo phong cách đó?
Phong cách tình yêu của một người không hề hoặc chỉ phụ thuộc rất ít vào gen. Thay vào đó, nó có liên quan đến sự phát triển của tính cách và những trải nghiệm mà bạn có trong quá khứ.
Một số nghiên cứu phát hiện những người có nhiều tính xấu, chẳng hạn như ái kỷ, máy móc, gia trưởng hoặc có vấn đề tâm thần thường yêu theo phong cách ludus hoặc pragma.
Những người luôn cảm thấy bất an, có nhu cầu được công nhận trong tình yêu thường có phong cách mania. Trong khi những người cảm thấy rụt rè, thiếu thoải mái với sự thân mật sẽ không chọn yêu theo lối eros.
Nhưng bất kể sự khác biệt trong cách trải nghiệm tình yêu, có một điểm chung khi con người là một loài động vật xã hội, tất cả chúng ta đều có một niềm đam mê sâu sắc với tình yêu.
Tham khảo Theconversation
NỔI BẬT TRANG CHỦ
-
MacBook Neo giá 16 triệu đồng, Apple vẫn lời lớn nhờ bán thứ mà người dùng không nhìn thấy
Doanh thu dịch vụ đang hướng tới mốc 100 tỷ USD mỗi năm, và MacBook Neo chính là cánh cổng đưa hàng triệu người bước vào hệ sinh thái đó.
-
Tin vui cho game thủ: OpenAI cắt siêu dự án, Google nén RAM AI xuống 6 lần - Giá DDR5 giảm mạnh nhất trong một tuần