Không giống viêm phổi thông thường: Điều gì xảy ra với phổi của bệnh nhân nhiễm COVID-19?
Giáo sư John Wilson, chuyên gia về bệnh hô hấp người Australia, đã lí giải những điểm giống và khác biệt của viêm phổi do vi khuẩn và viêm phổi do virus corona gây ra.
- 41,5% ca mắc COVID-19 ở Việt Nam không có triệu chứng ho, sốt, tức ngực, khó thở
- Thiết bị xét nghiệm Covid-19 cầm tay, giá rẻ, có thể sử dụng tại nhà đang được các nhà khoa học Anh phát triển
- SpaceX bắt đầu sản xuất nước rửa tay và mặt nạ bảo vệ để tặng cho các bệnh viện, giúp chống lại dịch bệnh Covid-19
Tờ Guardian dẫn nguồn WHO cho biết, khoảng 80% trong số các bệnh nhân nhiễm COVID-19 phục hồi mà không cần chữa trị đặc biệt. Tuy nhiên, cứ 6 người thì sẽ có 1 người rơi vào tình trạng nguy kịch và có triệu chứng khó thở.

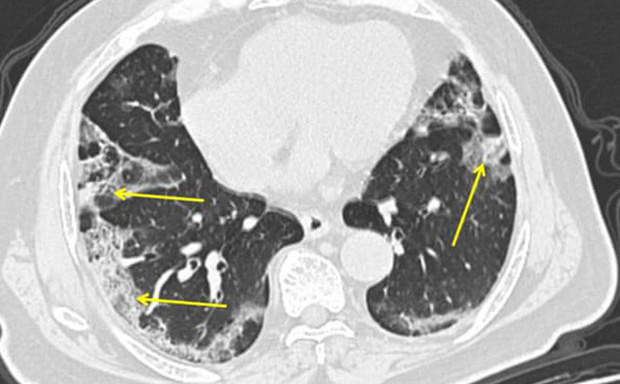
Bức ảnh cho thấy bản chụp CT của một bệnh nhân nhiễm COVID-19. Viêm phổi gây ra bởi virus corona khiến phổi có những vết mờ dễ thấy ở viền ngoài phổi. Ảnh: Mount Sinai Hospital/AP
Virus ảnh hưởng đến cơ thể người như thế nào?
Giáo sư John Wilson, hiệu trưởng mới được bầu của Đại học Y Hoàng gia Australia và là một chuyên gia về bệnh hô hấp, nói gần như tất cả các triệu chứng nghiêm trọng của COVID-19 đều giống với bệnh viêm phổi.
Theo ông Wilson, những người nhiễm COVID-19 đều có thể xếp vào 4 nhóm.
Nhóm thứ nhất là những người "cận lâm sàng" và những người nhiễm virus nhưng không có triệu chứng.
Nhóm thứ hai là những người bị viêm nhiễm ở đường hô hấp trên. Điều đó có nghĩa rằng bệnh nhân này sẽ bị sốt, ho và có các triệu chứng nhẹ như đau đầu và viêm kết mạc.
Ông Wilson nói: "Những người có triệu chứng nhẹ vẫn có thể lây nhiễm virus nhưng sẽ không nhận ra điều đó".
Nhóm thứ ba chiếm đa phần trong số những ca dương tính với COVID-19, là những người có triệu chứng giống như bệnh cúm và tình trạng bệnh khiến họ không thể đi làm được.
Nhóm thứ tư, theo ông Wilson, sẽ có những triệu chứng nặng giống như bị viêm phổi.
Ông cho biết: "Tại Vũ Hán, trong số những người dương tính với COVID-19 và cần tới sự hỗ trợ y tế, khoảng 6% rơi vào tình trạng nguy kịch".
WHO cho biết những người lớn tuổi, người có bệnh lý nền như huyết áp cao, bệnh tim, phổi hoặc tiểu đường có khả năng chịu những triệu chứng nặng hơn những người khác.
Viêm phổi phát triển như thế nào?
Khi những người mắc bệnh COVID-19 ho và sốt, ông Wilson cho biết đây là kết quả của việc nhiễm trùng ở đường dẫn khí giữa phổi và bên ngoài.
Ông Wilson cho biết: "Lớp màng bên trong đường hô hấp bị tổn thương, gây ra viêm nhiễm và dị ứng. Chỉ một lớp bụi nhỏ cũng có thể khiến bệnh nhân ho".
"Nếu bệnh tình diễn biến xấu hơn, virus sẽ xâm nhập tới cuối đường hô hấp, gây viêm tới các túi khí ở phổi của chúng ta".
Theo ông Wilson, khi các túi khí ở phổi chứa đầy các chất gây viêm, phổi sẽ không thể cung cấp đủ oxy cho máu, làm giảm khả năng tiếp nhận oxy của cơ thể và giảm năng lực đào thải khí CO2.
"Đây thường là nguyên nhân gây ra tử vong ở các bệnh nhân bị viêm phổi nặng," ông nói.
Giáo sư Christine Jenkins, chủ tịch Quỹ Nghiên cứu Phổi Australia và là chuyên gia hàng đầu về đường hô hấp, nói: "Không may là, tới nay chúng ta chưa có bất kì phương pháp nào để ngăn ngừa người bệnh bị viêm phổi khi nhiễm COVID-19. Các bác sĩ đã thử mọi loại thuốc men và chúng tôi hi vọng sẽ tìm ra cách kết hợp thuốc mang lại hiệu quả. Hiện tại, chưa có bất kì phương pháp điều trị nào hiệu quả ngoài điều trị tích cực. Chúng tôi hỗ trợ bệnh nhân thở và duy trì mức oxy đủ cao cho tới khi phổi của họ có thể hoạt động bình thường khi bình phục."
Ông Wilson cho biết các bệnh nhân bị viêm phổi do virus có khả năng sẽ có những biến chứng khác, vậy nên bác sĩ có thể phải sử dụng tới nhiều loại thuốc khác để điều trị.
"Trong một số trường hợp, thuốc vẫn không đủ để chữa bệnh. Bệnh viêm phổi phát triển quá mức và bệnh nhân không qua khỏi," ông nói.
Viêm phổi do COVID-19 có khác biệt không?
Giáo sư Jenkins nói viêm phổi do COVID-19 gây ra khác với hầu hết các trường hợp khác.
"Gần như tất cả các trường hợp viêm phổi mà chúng ta biết đều gây ra bởi vi khuẩn và vì vậy có thể dùng kháng sinh để chữa trị".
Ông Wilson cho biết có bằng chứng cho thấy viêm phổi gây ra bởi COVID-19 có thể trở nên rất nghiêm trọng. Theo ông Wilson, các ca viêm phổi loại này thường bị ảnh hưởng tới toàn bộ phổi, thay vì một số phần nhỏ.
Ông nói: "Một khi virus xâm nhập phổi và các túi khí, cơ thể sẽ phản ứng bằng cách tiêu diệt virus và hạn chế virus sinh sôi".
Tuy nhiên, cơ chế phản ứng này có thể sẽ không được kích hoạt ở một số nhóm bệnh nhân, bao gồm những người có bệnh lí nền về tim và phổi, bệnh tiểu đường và người lớn tuổi.
Giáo sư Jenkins cho biết, nhìn chung, những người hơn 65 tuổi có nguy cơ cao bị viêm phổi. Những bệnh nhân nhiễm bệnh như tiểu đường, ung thư, bệnh mãn tính gây ảnh hưởng tới phổi, tim, thận, gan, những người hút thuốc, trẻ em dưới 12 tuổi cũng là những đối tượng cần lưu ý.
"Tuổi tác là một yếu tố rõ rệt ảnh hưởng tới nguy cơ tử vong do viêm phổi. Viêm phổi luôn là bệnh nguy hiểm đối với người già và trên thực tế là một trong những nguyên nhân gây tử vong chính đối với họ. Điều này là bởi hệ miễn dịch của con người yếu dần theo năm tháng, khiến cơ thể khó có thể đối phó với dịch bệnh và sự lây nhiễm hơn."
NỔI BẬT TRANG CHỦ
-
Claude Code: "Hãy viết test đi" - nhưng toàn bộ 512.000 dòng code của chính nó thì không có lấy một cái test nào!
Khi source code Claude Code bị lộ ra ngoài ngày 31/3, thứ khiến cộng đồng lập trình viên bàn tán nhiều nhất không phải tính năng bí mật hay thông tin nội bộ nào - mà là một con số duy nhất: 0.
-
Giá RAM DDR5 tại Trung Quốc bất ngờ giảm hơn 30% sau khi Google ra mắt TurboQuant - nhưng đây không phải dấu hiệu hết khan hàng