Nhà văn khoa học mô tả tường tận quá trình virus corona lây nhiễm, tấn công người bệnh
Covid-19 chắc chắn không đơn giản như cảm cúm thông thường, và bạn nên tuyệt đối tuân thủ lệnh hạn chế đi lại trong thời điểm nhạy cảm của dịch bệnh này.
LTS: Điều gì sẽ xảy ra nếu bạn bất chấp lệnh hạn chế đi lại và xuất hiện tại một nhà hàng công cộng giữa dịch Covid-19? Cho dù bạn đã thực hành mọi biện pháp phòng ngừa khác như rửa tay với dung dịch chứa cồn, chọn một nhà hàng ngoài trời thoáng đãng và ngồi cách xa các bàn ăn khác, bạn vẫn có khả năng lây bệnh.
Jeff Wise, một nhà báo, nhà văn khoa học người Mỹ tốt nghiệp từ Đại học Harvard, sẽ kể cho bạn nghe câu chuyện về một chàng thanh niên trẻ khỏe - vì chủ quan mà đã nhiễm Covid-19 từ một bữa ăn trưa cùng bạn mình.
Mặc dù mang tính giả tưởng, câu chuyện đã được Jeff Wise xây dựng một cách hết sức trau chuốt và tỉ mỉ, dựa trên những bằng chứng khoa học có thật về virus SARS-CoV-2 và căn bệnh Covid-19 mà nó gây ra.
Có thể nói đó là một kịch bản hoàn toàn khả dĩ. Từ cách virus lây nhiễm vào cơ thể, quá trình ủ bệnh, phát bệnh, cảm giác của bệnh nhân, con đường anh ta tiếp tục phát tán virus sang người khác, các phương pháp điều trị thậm chí cả trải nghiệm cận tử của chàng thanh niên này đều đã được Jeff Wise tái hiện từ những nghiên cứu khoa học.

Nhà báo, nhà văn khoa học người Mỹ Jeff Wise
Sự tỉ mỉ của anh ấy còn được thể hiện trong từng con số. Liệu một giọt dịch bắn ra từ miệng của bệnh nhân Covid-19 sẽ chứa bao nhiêu con virus? Một cái bắt tay có thể truyền bao nhiêu mầm bệnh? Và mất bao nhiêu ngày để virus giết chết một chàng trai chưa vợ, chưa có người yêu và hoàn toàn trẻ khỏe?
Qua câu chuyện của Jeff Wise, bạn sẽ hiểu được rằng mình không thể chủ quan với virus corona mới. Covid-19 chắc chắn không đơn giản như cảm cúm thông thường, và bạn nên tuyệt đối tuân thủ lệnh hạn chế đi lại trong thời điểm nhạy cảm của dịch bệnh này.
***
Hãy tưởng tượng điều gì sẽ xảy ra nếu hôm nay bạn còn gọi điện thoại và hẹn ai đó ra ngoài đi ăn trưa. Thời tiết có vẻ không giống mùa xuân cho lắm, vì vậy, bạn chọn một nhà hàng ngoài trời và yên tâm rằng lựa chọn đó có đã an toàn hơn cho mình.
Như thường lệ, bạn vẫn thực hành tất cả các biện pháp phòng ngừa hợp lý: Bạn dùng nước rửa tay khô, ngồi cách xa các khách hàng khác và cố gắng tránh chạm tay lên mặt của mình, mặc dù điều cuối cùng này rất khó để thực hiện.
Cẩn thận vậy thôi, chứ một phần trong thâm tâm bạn vẫn nghi ngờ dịch Covid-19 chỉ đang bị truyền thông thổi phồng và làm quá lên.
Có điều bạn không biết là 10 ngày trước đó, bố anh bạn mà hôm nay bạn hẹn đã làm khách của một đối tác kinh doanh cùng câu lạc bộ đại học. Và tại đây, ông ấy đã nhiễm virus corona từ vợ của đối tác, một nhà đầu cơ tiền điện tử.
Ba ngày sau, người bố đang ở trong căn hộ của mình thì chuông cửa reo. Con trai ông ấy - chính là người bạn của bạn về nhà. Người bố với lấy nắm cửa, nhưng trước đó ông vừa che tay lên miệng để ho.
Nước bọt của một bệnh nhân Covid-19 có thể chứa tới nửa nghìn tỷ hạt virus trong mỗi muỗng cà phê. Và đám mây aerosol mà người bố ho ra đã tạo thành một màn sương khuyếch tán cả đám virus ấy.
Khi anh bạn bước chân qua ngưỡng cửa và hít vào hơi thở đầu tiên, 32.456 hạt virus đã kịp bám vào niêm mạc miệng và cổ họng anh. Virus liên tục nhân lên trong cơ thể bạn của bạn kể từ đó. Và ngay lúc này đây, bạn đang ngồi ăn trưa cùng với một bệnh nhân Covid-19 mới, một F0 thực thụ.
Đám mây aerosol từ miệng một người dưới ống kính tốc độ cao
Mọi lúc khi hai người nói chuyện, hơi thở của anh bạn đã chạy qua lớp màng ẩm ở cổ họng trên, đẩy những giọt chất nhầy chứa đầy những con virus bé nhỏ vô hình bay vào không khí, bắn rớt xuống mặt bàn giữa hai bạn.
Một số giọt virus lắng xuống thức ăn mà bạn còn chưa ăn trên đĩa, một số trôi dính vào ngón tay của bạn, một số khác đã bị hút vào xoang mũi hoặc lắng vào trong cổ họng bạn tự bao giờ.
Vào thời điểm kết thúc bữa ăn khi bạn đưa tay ra để nói lời tạm biệt, 43.654 hạt virus từ anh bạn đã nhiễm sang cơ thể bạn. Ngay sau khi anh ấy chấp nhận cái bắt tay đầy thiện cảm, con số lúc này đã lên tới 312.405.
Với hàng trăm ngàn giọt bắn chứa virus, xác suất là một trong những giọt đó đã được hút vào tận sâu trong những nhánh phổi của bạn. Nó lắng đọng trên một bề mặt ấm áp, ẩm ướt và virus bắt đầu thấm vào chất nhầy bao phủ trên mô phổi.
Mỗi virus SARS-CoV-2 là một hạt hình cầu, nó rất nhỏ. Nếu bạn phóng to một sợi tóc của mình lên rộng bằng một sân bóng đá, virus lúc này sẽ có đường kính 10 cm.
Màng ngoài của nó chứa một lớp dầu, cắm lởm chởm trên lớp chất béo này là những phân tử protein nhô ra gọi là protein gai. Chúng lồi ra bên ngoài virus như những phần nhô ra của quả bóng nhai dành cho chú cún cưng nhà bạn.
Bên trong tâm của quả bóng là một chuỗi RNA hình sợi cuộn tròn, vật liệu di truyền của virus. Gói hàng mà nó mang theo.
Khi virus trôi giạt qua chất nhầy trong phổi, nó va vào một trong những tế bào trên bề mặt. Những tế bào phổi, chúng lớn hơn đáng kể so với virus. Hãy trở lại với sợi tóc to bằng sân bóng đá, nếu virus chỉ rộng chừng 10 cm thì một tế bào phải có đường kính gấp hàng trăm lần, cụ thể là 8 m.
Nếu sợi tóc to bằng một sân bóng (màu xanh), virus corona sẽ rộng chừng 10 cm, một tế bào phổi (màu ghi) khi đó có đường kính lên tới 8 m.
Một tỷ năm tiến hóa đã trang bị cho tế bào phổi người khả năng chống lại những cuộc tấn công từ bên ngoài. Nhưng nó cũng có một lỗ hổng – một backdoor. Nhô ra khỏi bề mặt của tế bào phổi có những đoạn protein gọi là angiotensin chuyển đổi enzyme 2, hay thụ thể ACE2.
Thông thường, phân tử này sẽ giúp điều chỉnh hoạt động của hooc-môn trong cơ thể bạn. Nhưng sau bữa trưa hôm nay, ACE2 lại trở thành những chiếc mỏ neo cho virus corona bám vào và lây nhiễm.
Khi gai protein của virus va chạm vào bề mặt của tế bào phổi, nó ăn khớp hoàn toàn vào bề mặt của thụ thể ACE2. Chúng khớp nhau đến nỗi virus sẽ dính rất chặt vào tế bào như được bôi thêm keo. Sau đó thì màng của virus dần hòa trộn với màng tế bào, đẩy RNA của nó tràn vào tế bào phổi. Thế là virus đã vào được bên trong.
Sau đó, RNA của virus trở nên bận rộn. Tế bào phổi của bạn tất nhiên cũng có vật liệu di truyền riêng của mình, là những DNA xoắn kép có thể tự nhân đôi từ mỗi nửa RNA. Quá trình sao chép này diễn ra liên tục ở tâm của tế bào, nơi DNA cũng đang chỉ đạo và hướng dẫn tế bào tạo ra các protein phục vụ chức năng của phổi.
Nó giống như một phân xưởng ở chỗ ông già Noel, nơi các yêu tinh đang chăm chú đập búa để tạo ra những món đồ chơi theo chỉ dẫn của ông ấy. Trong tế bào, những yêu tinh này là một phức hợp của RNA và protein gọi là ribosome.
Ngay khi RNA của virus corona gặp một ribosome, ribosome đó bắt đầu đọc bản hướng dẫn của nó và đập búa để tạo ra các protein của virus thay vì protein của tế bào phổi. Những protein này sau đó giúp RNA virus sao chép chính nó, và những bản sao này sau đó tiếp tục đi chiếm đoạt các ribosome khác của tế bào.
Một số protein khác của virus ngăn chặn phản ứng miễn dịch, không cho tế bào đuổi cổ nó. Chẳng mấy chốc, một tế bào phổi đang hoạt động bình thường bỗng dưng bị nhu cầu của virus áp đảo hoàn toàn. Virus chiếm dụng toàn bộ năng lượng và bộ máy của nó để tạo ra vô số bộ phận bản sao của virus mới.
Khi những bộ phận này thành hình, chúng được chuyển lên một băng chuyền đi ra ngoài phía trong bề mặt tế bào phổi. Ở đây, quá trình lắp ráp diễn ra, bộ phận màng tóm lấy những gai protein lởm chởm, chúng bọc lại một chuỗi RNA và cứ thế lần lượt, từng virus mới ra đời.
Các virus tụ lại với nhau thành những bong bóng nhỏ bên trong tế bào phổi gọi là vesicle. Chúng di chuyển lên bề mặt tế bào vỡ ra và giải phóng các hạt virus mới vào cơ thể bạn. Mỗi một tế bào phổi bị chiếm dụng như vậy có thể sản xuất hàng chục, thậm chí hàng trăm ngàn virus mới.
Cùng lúc cuộc đổ bộ này xảy ra, một số gai protein vẫn còn dư thừa trong tế bào, chưa được bọc lên bất kỳ virus mới nào. Chúng sẽ chui qua màng tế bào chủ và lại bám lên bề mặt của tế bào phổi liền kề. Tế bào chủ lúc này giống như một con tàu chở đầy cướp biển, đâm thẳng vào một con tàu buôn chỉ có những thương gia yếu đuối.
Hai tế bào sau đó hợp nhất lại làm một, các RNA của virus được dịp tràn qua tế bào chủ mới.
Quá trình này xảy ra và lặp đi lặp lại ở khắp nơi trong đường hô hấp của bạn, từ phổi, cổ họng, cho tới miệng. Các virus liên tục xâm nhập tế bào, tế bào liên tục bị chiếm đóng và các virus mới liên tục được tạo ra.
Nếu cũng giống với người họ hàng của nó là SARS, mỗi thế hệ lây nhiễm của SARS-CoV-2 có thể mất khoảng 1 ngày để nhân lên và tạo ra hàng triệu virus mới. Đội quân virus này tràn vào chất nhầy của phổi, xâm nhập vào máu và trôi vào cả hệ thống tiêu hóa của bạn.
Trong quá trình đó, bạn sẽ không hề cảm thấy bất cứ điều gì. Bạn ăn thêm vài bữa trưa nữa, mọi chuyện vẫn hoàn toàn ổn. Nếu bạn thấy điều gì đó không ổn vào lúc này, thì đó hẳn là việc phải ở trong nhà quá nhiều, thật chán hết sức.
Bạn tự nghĩ rằng mình là một công dân chăm chỉ, vậy mà bây giờ phải chết dí ở nhà để thực hiện lệnh hạn chế đi lại, và sau hai ngày cày lại cả bộ Fast & Furious, bạn quyết định rằng nếu không ra ngoài ngày hôm nay thì bạn hẳn sẽ bị tâm thần.
Và thế là bạn gọi cho một trong số những người yêu cũ của mình, cô ấy đồng ý sẽ gặp bạn để đi dạo dọc bờ sông. Bạn đang hy vọng cái cảm giác tận thế sẽ giúp hai người có một buổi chiều “bất chấp tất cả”, nhưng rồi cổ đeo khẩu trang và cảm xúc của bạn bị giết chết.
Ngoài ra, cô ấy còn nói với bạn rằng mình đã quyết định chuyển đến sống cùng một anh chàng mà cô ấy gặp ở Landmark. Bạn thậm chí còn không biết cô ấy đã chuyển vào sống ở Landmark. Trước khi kết thúc cuộc hẹn, cô ấy trao cho bạn một cái ôm thật ấm áp và hai người tạm biệt nhau.
Ngoài mặt bạn nói thật tuyệt khi gặp lại em, nhưng trong lòng thì ủ dột.
Nhưng có một điều mà bạn gái cũ của bạn không biết, đó là một giờ trước, bạn đã vào phòng vệ sinh và không thèm rửa tay sau khi đi xong. Vết phân nhỏ đến vô hình mà bạn vừa để lại trên cánh tay áo khoác của cô ấy chứa 893.405 hạt virus SARS-CoV-2 mới.
47 giây sau khi về đến nhà, cô ấy sẽ treo áo khoác lên và sau đó gãi một vết ngứa ở dưới mũi khi chưa kịp rửa tay. Trong khoảnh khắc đó, 9.404 hạt virus sẽ chuyển tới bám lên mặt cô. Năm ngày sau, một chiếc xe cứu thương sẽ đưa người yêu cũ của bạn đến đến một khu cách ly ngoài ngoại ô.


Giống như một chuỗi bán lẻ bị nuốt chửng bởi quỹ gom cổ phần tư nhân, bị tước bỏ các bộ phận và bỏ mặc cho tới chết, các tế bào nhiễm virus phun toàn bộ mầm bệnh chứa trong nó ra bên ngoài, cho đến khi nó tự kết liễu và trở thành một cái xác khô.
Khi các mảnh tế bào tan rã lan truyền trong máu, hệ thống miễn dịch của bạn cuối cùng cũng cảm nhận được có gì đó không ổn.
Các tế bào bạch cầu phát hiện các mảnh tế bào chết và giải phóng các hóa chất gọi là cytokine đóng vai trò tín hiệu báo động. Cytokine kích hoạt các bộ phận khác của hệ thống miễn dịch. Khi các tế bào miễn dịch xác định được một tế bào đã bị nhiễm bệnh, chúng tấn công và phá hủy nó.
Trong cơ thể bạn, một trận Somme tí hon đang được tái diễn. Hệ thống miễn dịch của bạn nã đại bác Big Berthas vào cả chiến hào và quân đội của chính nó. Vào lúc mà cuộc tàn sát này diễn ra, nhiệt độ cơ thể bạn mới tăng lên và khu vực bị nhiễm bệnh mới phát viêm.
Hai ngày sau khi ngồi ăn trưa, bạn nhận ra rằng nghĩ đến thức ăn lúc này lại khiến bạn thấy buồn nôn. Bạn nằm xuống và ngủ trong vài giờ. Nhưng khi thức dậy, bạn nhận ra rằng ngủ chỉ khiến mình thấy mệt hơn.
Ngực của bạn căng cứng, bạn đã bị ho khan nhưng vẫn không bỏ cuộc. Bạn tự hỏi: Đây có phải là triệu chứng Covid-19 hay không? Bạn lục lọi tủ thuốc của mình trong vô vọng, và cuối cùng cũng tìm thấy chiếc nhiệt kế ở phía sau tủ quần đồ vải lanh.
Bạn giữ nó dưới lưỡi trong một phút và sau đó đọc kết quả: 39 độ. Mẹ kiếp, bạn nghĩ trong đầu và bò trở lại giường. Bạn tự nói với bản thân mình rằng đó có thể chỉ là bệnh cúm thông thường. Và thậm chí nếu tệ hơn cả mức tồi tệ nhất, bạn đã nhiễm Covid-19 nhưng bạn còn trẻ và còn khỏe. Bạn không thuộc nhóm nguy cơ cao.
Tất nhiên, theo một nghĩa nào đó thì bạn đúng. Đối với hầu hết những người bị nhiễm virus corona mới, điều tồi tệ chỉ dừng lại ở đây. Chỉ cần nằm nghỉ ngơi trên giường, họ sẽ trở nên tốt hơn. Nhưng vì một lý do nào đó mà các nhà khoa học vẫn chưa hiểu, khoảng 20% người nhiễm virus sẽ bị bệnh nặng. Mặc dù bạn còn trẻ, xác suất vẫn có thể khiến bạn rơi vào nhóm này.
Sau 4 ngày sốt dữ dội và cảm thấy đau nhức khắp người, bạn nhận ra rằng mình đang ốm yếu hơn bất kỳ trận ốm nào bạn từng có trong đời. Bạn liên tục ho khan và những cơn ho hành hạ bạn đến mức đau cả lưng. Bạn phải gắng sức để giành lấy từng ngụm thở, bạn ra đặt một chiếc Grab để đến phòng cấp cứu gần nhất.
Trên chuyến đi đó, bạn đển lại 37.345.090 hạt virus dính trên các bề mặt khác nhau trong xe. Cùng với đó là 323.443.865 hạt virus khác trôi nổi trong các đám mây aerosols xung quanh tài xế.
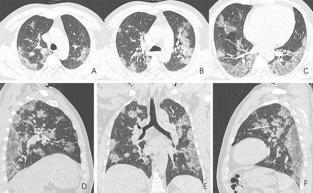
Đến phòng cấp cứu của bệnh viện, bạn đã được xét nghiệm và gửi đến một khu cách ly. Khi các bác sĩ chờ đợi kết quả cho corona, họ tiến hành chụp CT phổi cho bạn. Trên phim kết quả, các bác sĩ nhìn thấy những tổn thương kính mờ, những đặc trưng khó có thể lẫn đi đâu của tình trạng viêm phổi.


Phổi của bạn trắng đục giống như những tấm kính cửa số nhà tắm được cố tình làm mờ để không ai có thể nhìn vào bên trong. Các đốm mờ ấy chính là do chất lỏng tích tụ lại trong phổi, và ở đó, trận chiến của hệ miễn dịch đang diễn ra khốc liệt nhất.
Bạn không chỉ mắc Covid-19 mà bệnh còn tiến triển nặng đến một tình trạng viêm phổi nguy hiểm, đe dọa tính mạng được gọi là hội chứng suy hô hấp cấp tính hay ARDS.
Bệnh viện đã hết giường dành cho bệnh nhân Covid-19, vì vậy, bạn phải nằm trên một chiếc giường xếp cùng với 5 bệnh nhân khác trong phòng. Các bác sĩ cắm ống truyền nước vào tĩnh mạch ở tay để cung cấp cho cơ thể bạn các chất dinh dưỡng, chất lỏng cũng như thuốc kháng virus.
Trong vòng một ngày sau khi bạn nhập viện, tình hình tiếp tục xấu đi. Qua vài này nữa, bạn liên tục nôn mửa và bắt đầu bị ảo giác. Nhịp tim của bạn chậm lại xuống chỉ còn 50 nhịp một phút. Và khi một bệnh nhân ở phòng bên cạnh tử vong, các bác sĩ rút máy thở ra khỏi người anh ấy và cắm nó sang cho bạn.
Vào lúc một y tá luồn ống nội khí quản xuống cổ họng, bạn đã nửa tỉnh nửa mê và chỉ còn cảm thấy có cái gì đó đang ngày càng thọc sâu hơn, rồi sâu hơn về phía phổi của mình. Bạn nằm bẹp ở đó, không thể làm gì khi cô y tá dán miếng băng dính cuối cùng lên miệng bạn để giữ chiếc ống ở vị trí của nó.
Cơ thể bạn đã sụp đổ. Hệ thống miễn dịch của bạn đã tự ném nó vào một cơn bão cytokine - một sự quá khích khi mà tế bào miễn dịch không còn tiêu diệt một mình mầm bệnh, mà còn giết chết cả các tế bào khỏe mạnh của chính bạn.
Các tế bào bạch cầu xông vào phổi của bạn, phá hủy các mô phổi. Chất lỏng lấp đầy các túi phế nang nhỏ, mơi máu vẫn thường đi qua để hấp thụ oxy. Quá trình ấy diễn ra thật hiệu quả, bạn đang chết đuối trong chính lá phổi của mình.
Ngay cả khi máy thở đang bơm trực tiếp không khí giàu oxy vào phổi cho bạn, nó cũng không còn có tác dụng. Và thậm chí điều tồi tệ nhất còn chưa đến.

Dưới sự tấn công quá khích của phản ứng miễn dịch, các cơ quan nội tạng trong khắp cơ thể bạn sẽ ngừng hoạt động- một quá trình được gọi là hội chứng rối loạn chức năng đa cơ quan, hoặc MODS.
Khi gan của bạn bị suy, nó không còn có thể lọc chất độc ra khỏi máu của bạn. Đó là lý do một bác sĩ phải chạy vội vào phòng và nối cơ thể bạn với một cỗ máy lọc máu chạy suốt ngày đêm. Thiếu oxy, các tế bào não của bạn bắt đầu chết dần.
Trên bờ vực giữa sự sống và cái chết, bạn bây giờ chỉ còn là một linh hồn lập lòe dao động. Một khi đã trượt vào MODS, tỷ lệ sống của bạn chỉ còn là 50-50 hoặc thậm chí tệ hơn. Và bởi đại dịch đã làm quá tải tài nguyên của bệnh viện, vượt qua khả năng chịu đựng của hệ thống y tế, tiên lượng của bạn thậm chí còn ảm đạm hơn nữa
Nằm trên chiếc giường gấp của mình, bạn chỉ còn nghe lờ mờ khi các bác sĩ nối bạn với một máy trao đổi oxy màng ngoài cơ thể (ECMO). Cỗ máy này sẽ đảm nhận công việc thay cho trái tim và lá phổi đã bị tổn thương của bạn, với hy vọng giữ cho bạn sống được đến khi cơ thể tìm được đường trở về trạng thái cân bằng của nó.
Sau đó thì bạn thấy một cảm giác bình tĩnh tràn ngập tâm trí mình. Bạn thấy mình đã đạt đến giới hạn cuộc chiến đấu. Điều tồi tệ nhất trong cơn nguy kịch đã qua.
Khi bị virus tấn công, hệ thống miễn dịch trong cơ thể của bạn sẽ quay trở lại, và bạn sẽ bắt đầu hành trình chậm chạp, khó khăn nhưng đi đến sự hồi phục hoàn toàn.
Vài tuần nữa, các bác sĩ sẽ tháo ống nội khí quản ra khỏi cổ họng và họ đẩy chiếc máy thở ra khỏi phòng bệnh của bạn. Cảm giác thèm ăn sẽ quay trở lại, sắc hồng cũng hiện lên trên hai gò má.
Rồi một buổi sáng mùa hè, bạn sẽ ra viện trong tiết trời trong lành để gọi một chiếc taxi về nhà. Rồi sau đó, bạn gặp cô gái sẽ trở thành vợ của bạn, rồi bạn sẽ có ba đứa con, hai trong số chúng sẽ sinh ra những cháu trai, cháu ngoại cho bạn. Rồi tụi nhỏ ấy sẽ đến thăm bạn trong nhà dưỡng lão.
Nhưng đó chỉ là những gì mà tâm trí bạn tự vẽ ra để huyễn hoặc mình. Giữa lúc đó, những tế bào cuối cùng ở vỏ não của bạn đã vỡ tan trong một đợt sóng như sao sa, cảm giác giống như bạn đang chìm vào một đầm phá nước chứa đầy tảo phát sáng lúc nửa đêm.
Trong khu cách ly, tín hiệu điện tim đồ của bạn chuyển thành một tiếng pip dài đơn điệu. Các bác sĩ rút máy thở của bạn để chuyển sang cho một bệnh nhân vừa nhập viện buổi sáng. Trong hồ sơ chính thức về đại dịch Covid-19, bạn sẽ được ghi nhận là ca tử vong số 592.
Tham khảo Nymag
NỔI BẬT TRANG CHỦ
-
Elon Musk nói đi học Y là vô nghĩa, chuyên gia phản ứng gay gắt
Tỷ phú Elon Musk vừa đưa ra tuyên bố cho rằng việc học ngành y là vô nghĩa khi robot Optimus sẽ thay thế bác sĩ ngoại khoa giỏi nhất, nhận định này lập tức nhận về rất nhiều phản bác vì tính thiếu thực tế ngành y học.
-
Mac vs Windows đang lặp lại kịch bản iPhone vs Android, và hãng nào sẽ chịu thiệt nhất đã có thể đoán trước